Przypadek pacjenta lek.wet. Magdaleny Domańskiej z lecznicy Vet-Kart w Kartuzach.
Aparat: VINNO R700 VET.
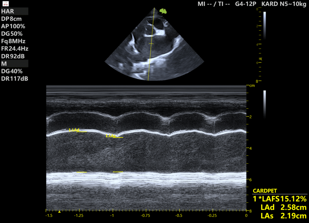
Przedstawiony pacjent to 14-letni kot, mieszaniec, u którego rozpoznano fenotypową kardiomiopatię restrykcyjną.
Pierwsze badanie echokardiograficzne: powiększony lewy przedsionek, znacznie osłabiona kurczliwość lewego przedsionka (pomiar LAFS – frakcja skracania lewego przedsionka) oraz masywny spontaniczny echokontrast (SEC).

Drugie badanie – po trzech miesiącach leczenia:
Uzyskano poprawę kurczliwości lewego przedsionka oraz zmniejszenie SEC.

KARDIOMIOPATIA RESTRYKCYJNA występuje u dorosłych kotów.
Cechą RCM jest sztywność lewej komory serca (lub obu) i związane z tym zaburzenie rozkurczowego napełniania komory.
Rozróżnia się formę miokardialną RCM, charakteryzującą się zwłóknieniem mięśnia sercowego
oraz formę zwłóknienia endomiokardialnego, której cechą jest bliznowate zwłóknienie wsierdzia.
W badaniu echokardiograficznym:

