CASE STUDIES

Częściowy kanał przedsionkowo-komorowy (PAVC)

Częściowy kanał przedsionkowo-komorowy (PAVC) – wada wrodzona wykryta w badaniu echo serca.

Przypadek dr hab. n.wet. Magdaleny Garncarz.
Aparat: VINNO ULTIMUS 9E



Pacjentka trafiła na badanie kardiologiczne przed planowaną kastracją.
W wywiadzie brak objawów. Stwierdzono ciążę urojoną.

Badanie kliniczne:

  • błony śluzowe różowe, wilgotne
  • CRT: 1 sek
  • oddech spokojny, bez wysłuchiwalnych patologicznych szmerów oddechowych
  • tętno prawidłowo wypełnione
  • częstość akcji serca i tętno: 124/min
  • osłuchowo: szmer skurczowy, koniuszkowy, lewostronny, o nasileniu I–II/VI
  • BCS: 5/9
  • temperament: spokojny

Najważniejsze nieprawidłowości stwierdzone w badaniu echokardiograficznym:

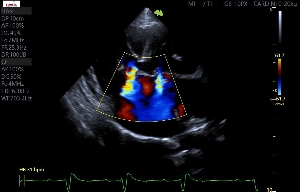
  • Znacznej wielkości ubytek w przegrodzie międzyprzedsionkowej z przepływem:
    • lewo-prawym w fazie rozkurczu
    • prawo-lewym w fazie skurczu
  • Dysplazja zastawki trójdzielnej:
    • ograniczona ruchomość płatków
    • szczątkowy płatek przyprzegrodowy
    • nadmiernie długi płatek wolnej ściany
    • istotna niedomykalność zastawki
  • Wtórne znaczne powiększenie prawego przedsionka i prawej komory
  • Spłaszczenie przegrody międzykomorowej z paradoksalnym jej ruchem oraz widoczny pseudoaneuryzm przegrody międzykomorowej w okolicy pod zastawką aortalną z możliwym przeciekiem lewo-prawym
  • Dysplazja zastawki mitralnej (o mniejszym nasileniu), z niedomykalnością
  • Zachowana czynność skurczowa lewej komory przy jednoczesnym upośledzeniu jej funkcji rozkurczowej

Nie stwierdzono:

  • zaburzeń rytmu podczas badania
  • płynu w worku osierdziowym ani w jamie opłucnej
  • cech zastoju płucnego

Na podstawie całości obrazu rozpoznano: Częściowy kanał przedsionkowo-komorowy (PAVC).

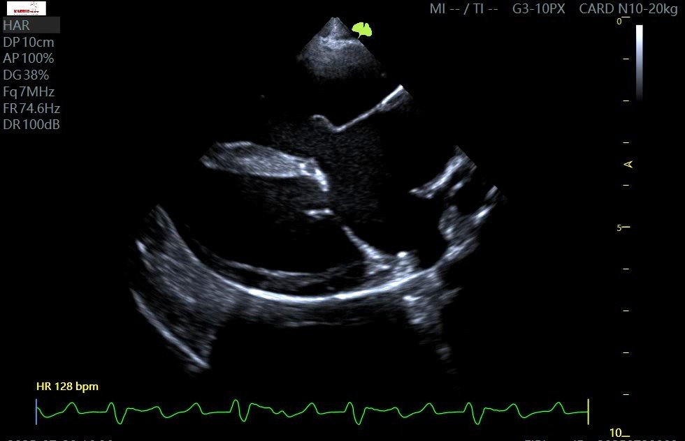
PAVC- obraz B-mode



Czym jest częściowy kanał przedsionkowo-komorowy (PAVC)?


PAVC (Partial Atrioventricular Canal), czyli częściowy kanał przedsionkowo-komorowy, to wrodzona wada serca, wynikająca z nieprawidłowego rozwoju poduszeczek wsierdziowych w życiu płodowym.

U psów najczęściej opisywana jest postać obejmująca:

  • ubytek w przegrodzie międzyprzedsionkowej typu ostium primum
    nieprawidłową budowę zastawek przedsionkowo-komorowych (najczęściej mitralnej i trójdzielnej). Zastawki dwudzielna i trójdzielna są od siebie oddzielone, ale znajdują się na tej samej wysokości.

Skutkiem wady jest przewlekłe przeciążenie objętościowe prawej części serca.


Obecność kanału przedsionkowo-komorowego skutkuje mieszaniem się krwi utlenowanej i nieutlenowanej, co w bardziej zaawansowanych stadiach prowadzi do rozwoju sinicy.

PAVC -Color Flow Doppler

Objawy kliniczne PAVC

Nasilenie objawów klinicznych zależy od wielkości ubytku, stopnia niedomykalności zastawek przedsionkowo-komorowych, obecności nadciśnienia płucnego.

U psów z częściowym kanałem i niewielką lewostronną niedomykalnością objawy niewydolności krążenia mogą nie występować przez kilka lat.

Możliwe objawy kliniczne obejmują:

  • obniżenie tolerancji wysiłkowej
  • duszność
  • kaszel
  • wodobrzusze
  • wychudzenie
  • zwiększoną liczbę oddechów w spoczynku
  • omdlenia (najczęściej związane z rozwojem nadciśnienia płucnego).




Źródła:

1. Santamarina G, Espino L, Vila M, Suarez ML. Partial atrioventricular canal defect in a dog. J Small Anim Pract. 2002;43(1):17-21. doi:10.1111/j.1748-5827.2002.tb00004.x2. Graczyk S, Grzeczka A, Pasławski R, Pasławska U. Complete atrioventricular canal in a dog-sounds like a final judgment but is it actually one? A case report. Vet Res Commun. 2024;48(6):3981-3987. doi:10.1007/s11259-024-10540-8
3. Pasławska U, Noszczyk-Nowak A, Cepie A, Staszczyk M, Janiszewski A. Atrial Septal Defect Ostium Primum Type in a Dog – a Case Report. EJPAU 2013;16(3):#06. http://www.ejpau.media.pl/volume16/issue3/art-06.html
Napisz do nas i przetestuj wybrany produkt w swojej codziennej praktyce.
Norax Medical Solutions Sp. z o.o.
02-871 Warszawa
ul. Karczunkowska 42
Dane kontaktowe
e-mail: info@noraxmedical.com
tel:+48 720 802 506
NIP: 9512616803