Aparat: VINNO G65VET
Do gabinetu trafił 8-letni pies, mieszaniec, o wadze 15 kg.
Przeprowadzono kwalifikację do planowego zabiegu stomatologicznego – badanie EKG ujawniło trigeminię.
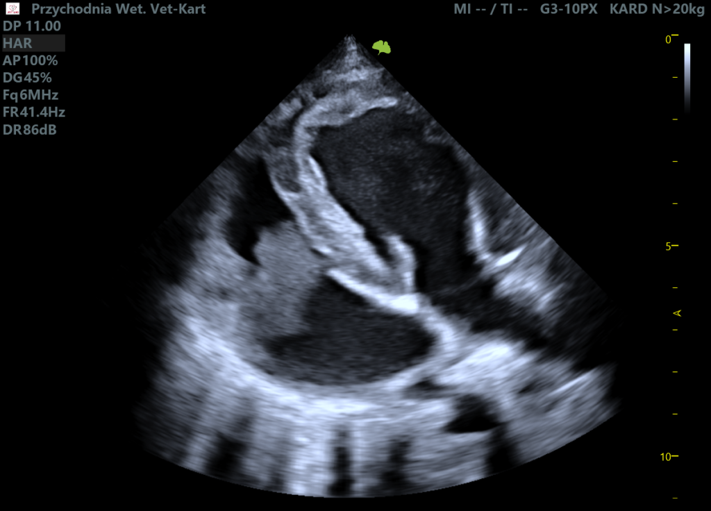
Wykonano badanie echo serca:
• worek osierdziowy wolny
• wymiary lewej komory i lewego przedsionka w granicach norm (LA/Ao 1,14)
• prawidłową budowę zastawek mitralnej, aortalnej i płucnej
• niewielką niedomykalność mitralną
Kluczowym znaleziskiem była dobrze zdefiniowana, niejednorodna, hipoechogenna względem wsierdzia zmiana o wymiarach 4,4 × 3,3 cm, zlokalizowana na wysokości zastawki trójdzielnej, związana z jej płatkiem/pierścieniem. Masa poruszała się synchronicznie z ruchem zastawki i powodowała częściową obstrukcję.


Zalecono dalszą diagnostykę, jednak w krótkim czasie doszło do nagłego zgonu pacjenta.
W badaniu sekcyjnym stwierdzono masywny krwiak podnasierdziowy oraz naciek guza na płatki zastawki trójdzielnej.
Ocena histopatologiczna materiału wykazała obecność naczyniakomięsaka (hemangiosarcoma).
Naczyniakomięsak (hemangiosarcoma, HSA) jest złośliwym nowotworem wywodzącym się ze śródbłonka naczyń krwionośnych. Zmiany zlokalizowane w obrębie serca mogą mieć charakter pierwotny lub przerzutowy.
Naczyniakomięsaki rozwijają się między innymi w śledzionie lub wątrobie, rzadziej w nerkach czy skórze.
Z tego względu wykrycie masy w sercu powinno skłaniać do podejrzenia choroby o charakterze uogólnionym i poszerzenia diagnostyki.
Naczyniakomięsak serca najczęściej lokalizuje się w obrębie prawego przedsionka, szczególnie w okolicy jego uszka lub na granicy prawego przedsionka i prawej komory.
Choroba dotyczy z reguły psów starszych, częściej ras dużych (predyspozycje u golden retrieverów i owczarków niemieckich); nie stwierdzono jednoznacznych predyspozycji płciowych.
Typowym objawem klinicznym HSA serca jest wysięk osierdziowy, prowadzący do tamponady serca i objawów niewydolności krążenia. Należy jednak podkreślić, że choroba może przez długi czas przebiegać bezobjawowo, a brak wysięku osierdziowego nie wyklucza obecności nowotworu.
W czasie postawienia rozpoznania u wielu pacjentów obecne są już przerzuty odległe.
Diagnostyka opiera się przede wszystkim na badaniu echokardiograficznym.
Badanie cytologiczne wysięku osierdziowego rzadko pozwala na postawienie rozpoznania, a ostateczne potwierdzenie diagnozy wymaga wykonania badania histopatologicznego.

