Badanie: lek.wet. spec. Michał Gruss
Aparat: VINNO R300VET
W badaniu ultrasonograficznym nerek psów i kotów jednym opisywanych znalezisk jest tzw. objaw rąbka rdzeniowego (Medullary Rim Sign, MRS). Aktualna literatura podkreśla jednak, że nie jest to objaw jednorodny i jego interpretacja powinna uwzględniać dokładną ocenę morfologii zmiany, a nie wyłącznie samą jej obecność.
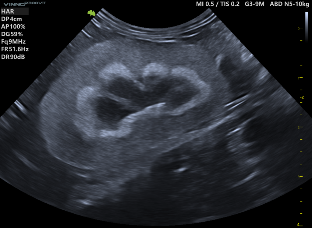
Medullary Rim Sign to hiperechogeniczna struktura w obrębie rdzenia nerki, przebiegająca równolegle do granicy korowo-rdzeniowej. Klasycznie opisywany jest jako cienka, jasna linia („rąbek”) oddzielająca korę od rdzenia.
Objaw ten może być obserwowany m.in. w:
Jednocześnie należy podkreślić, że MRS może być również widoczny u klinicznie zdrowych psów i kotów, zwłaszcza u zwierząt starszych. Z tego względu jego znaczenie diagnostyczne zawsze powinno być oceniane w kontekście klinicznym oraz w powiązaniu z innymi wynikami badań.
Aktualnie proponowany jest podział MRS na dwa odrębne typy, różniące się potencjalnym znaczeniem klinicznym:
MRS-line (klasyczny objaw rąbka)
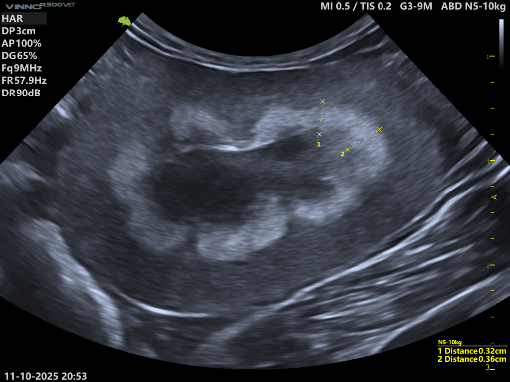
MRS-band / Medullary Band Sign (MRS-band) – objaw pasma rdzeniowego

W pracy Cordella i wsp. zaproponowano dodatkowe kryterium pomocne w różnicowaniu obu postaci MRS. Zmiany o większej grubości (około ≥ 2,5 mm) częściej odpowiadały obrazowi MRS-band (MBS), natomiast cieńsze struktury klasyfikowano jako MRS-line.

Należy podkreślić, że wartość ta ma charakter orientacyjny i nie stanowi sztywnego kryterium diagnostycznego. Może jednak być użytecznym elementem praktycznym w codziennej pracy ultrasonograficznej.
Obecność objawu pasma rdzeniowego (MRS-band) powinna:
Zarówno MRS-line, jak i MRS-band mogą być obserwowane u kotów z FIP. Nie są to jednak objawy patognomoniczne. Najczęściej opisywany mechanizm ich powstawania obejmuje:
Zmiany te mogą ewoluować wraz z przebiegiem choroby, dlatego USG nerek może być pomocnym narzędziem w monitorowaniu pacjentów, jednak nie stanowi podstawy do rozpoznania FIP.
Objaw pasma rdzeniowego (Medullary Band Sign) stanowi szczególną postać objawu rąbka, o potencjalnie większym znaczeniu klinicznym. Jego prawidłowa interpretacja wymaga:
Świadome rozróżnianie MRS-line i MRS-band pozwala na bardziej precyzyjną ocenę ultrasonograficzną nerek i wspiera właściwe decyzje diagnostyczne.

