
Fenotypowa kardiomiopatia restrykcyjna (RCM) u kota
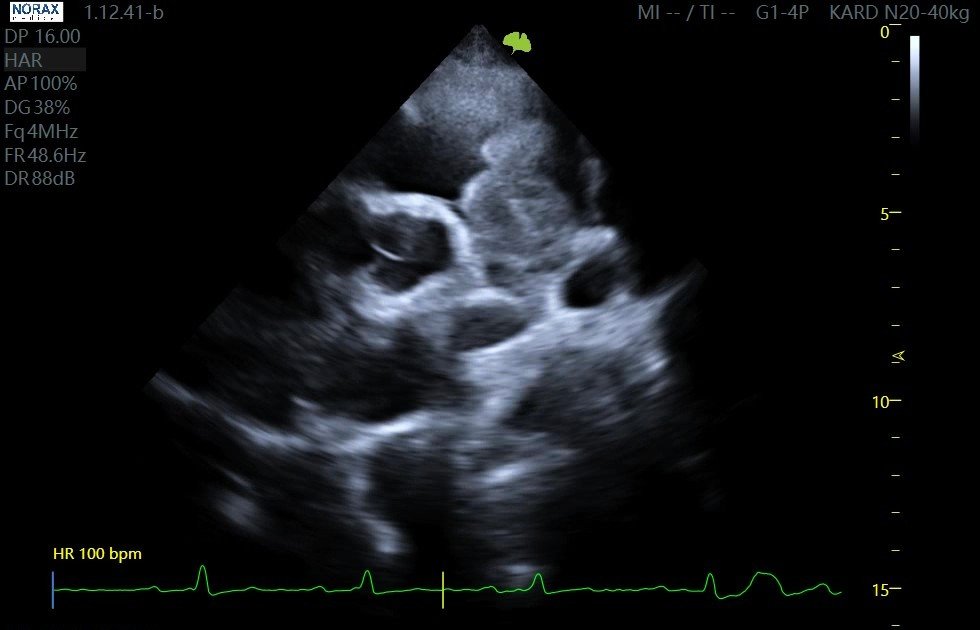
Przypadek pacjenta lek.wet. Magdaleny Domańskiej z lecznicy Vet-Kart w Kartuzach. Aparat: VINNO R700 VET. Przedstawiony pacjent to 14-letni kot, mieszaniec, u którego rozpoznano fenotypową kardiomiopatię restrykcyjną. Pierwsze badanie echokardiograficzne: powiększony lewy przedsionek, znacznie osłabiona kurczliwość lewego przedsionka (pomiar LAFS – frakcja skracania lewego przedsionka) oraz masywny spontaniczny echokontrast (SEC). Drugie badanie – po trzech miesiącach […]





















